Sorry, you need to enable JavaScript to visit this website.
Skip to main content

Diagnostic Testing

The most important tools a physician or other practitioner has to diagnose a mitral valve condition are history and physical examination.  A thorough discussion with the patient regarding the development of symptoms is followed by careful physical exam looking for evidence of murmurs (caused by turbulent blood flow through the valve and heard with a stethoscope) and of heart failure (such as swelling of the legs for example).  Specific tests that aid in the evaluation of mitral disease includes :

Echocardiogram

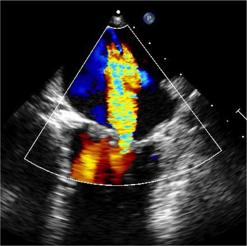
Transesophageal Echocardiogram Mitral Regurgitation
    Echo showing mitral regurgitation

A transthoracic echocardiogram "echo" is a non-invasive test that uses sound waves bouncing off the heart structures to see inside the heart.  It also uses doppler imaging (like the weather imaging you see) to "see" the abnormal blood flow caused by a diseased valve.  For instance, you can actually see the blood flowing backwards in mitral regurgitation. A transesophageal echocardiogram (TEE) may be required to better view the valve.  This procedure involves sedation similar to a colonoscopy (but no bowel prep) and takes advantage of the fact that the esophagus (swallowing tube) sits right behind the left atrium of the heart.  There are some risks with TEE but they occur with a low incidence (such as perforation of the esophagus or complications of sedation).  The other benefit of a well-done echocardiogram is that it can help the surgeon predict if the valve will be easy or difficult to repair and can give the patient and their family an estimate of how likely repair is versus replacement.  We find 3D TEE to be particularly helpful in planning out the repair strategy prior to surgery which we believe increases the repair rate.

cardiac catheterization
   Diagram showing cardiac catheterization procedure

Cardiac Catheterization

A cardiac catheterization is a procedure where catheters are used to measure pressures in the heart (to see if blood is "backing up" for example).  Dye is also used to evaluate the heart chambers and the often the coronary arteries (which supply blood flow to the heart).  Dye placed into the ventricle can be used to evaluate mitral regurgitation although echocardiogram is really the gold standard in evaluating the degree of regurgitation in my opinion.

Other Testing

Other tests that may help in the evaluation of mitral disease include chest x-ray, ECG, exercise testing.  Additionally, there is an increased use of CT scans and cardiac MRI to evaluate mitral valve disease.

Request an appointment with Dr. T. Sloane Guy to discuss your mitral valve condition.